虎牙应如何矫正

  • 时间:2020-05-05 15:20:05
  • 来源:天津诺尔口腔
  • 点击:11082
  • 咨询电话:022-23525523
       小小的虎牙看上去非常可爱,不过当虎牙特别突出或过长,就会影响美观甚至嘴型。因此许多父母对“虎牙矫正的最好方法”比较关注,那么,儿童、青少年和成年人分别适合哪种虎牙矫正方法呢?
 
       虎牙,在所有牙齿中是最坚固的牙齿,然而虎牙长得太长或突出,就会影响整体面容,虎牙拔掉后会严重影响到面容,所以千万不能轻易拔除。虎牙矫正,就是利用矫正器将虎牙变得自然、美观,那么问题来了,有哪些方法可以矫正虎牙呢?通常情况下,虎牙矫正方法有三种,正畸矫正、阻断矫正和美容冠修复。
 
       1、正畸矫正:虎牙矫正可以采用一般正畸,通过对虎牙患者不同牙颌面的畸形程度,选择各种矫正器进行矫正,此种矫正方法适用于青少年。一般正畸矫治器有固定矫治器、活动矫治器、功能矫治器、隐形矫治器等。
 
       ①  固定矫治器:常用的畸形牙矫治器之一,通过医生进行摘戴,患者无法自行摘戴。
 
       ②  活动矫治器:是用于乳牙和替牙期的一种矫治器,主要用于儿童期的简单矫正。
 
       ③  功能矫治器:利用矫治器矫正正骨性错合畸形,主要用于换牙后正发育的时间段。
 
       ④ 隐形矫治器:一种透明的矫治器,美观实用,儿童和成年均能实用。
 
       2、阻断矫正: 阻断矫正用于错颌畸形早期,主要通过简单的方法进行矫正,以达到阻断颌面畸形程度,将牙颌面引向正常发展,从而达到虎牙矫正的目的。阻断矫正包括对口腔中不良习惯的矫正,早期发现牙齿排列严重拥挤、不齐等现象,用阻断矫正效果很好。
 
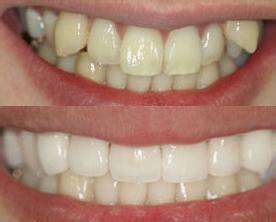
       3、美容冠修复:美容冠修复是虎牙矫正的一种方法,对虎牙矫正有着显着成效。美容冠修复技术过过程中没有痛感,矫正后牙齿美观度高、色泽逼真,是畸形牙矫正最理想的选择。美容冠矫正与佩戴矫治器不同,只需短短7天时间就能起到矫正牙齿的效果。
       儿童其虎牙矫正的最好方法就是阻断矫正,在发现牙齿有畸形现象是采用阻断矫正防止牙齿继续畸形,达到矫正效果。青少年时期虎牙矫正可选择正畸矫正,通过佩戴矫治器达到虎牙矫正的目的。而成人由于牙齿已经定型,虎牙矫正的最好方法就是美容冠修复技术。
 
       作为家长,更应该重视儿童的口腔问题,这不仅仅关乎到口腔以及牙齿的健康,更影响到其身心的发展。学校会有校园霸凌,不一定是身体上受到打击才算。因为牙齿畸形造成外观不好,发音不清、口臭问题,而遭到同学嘲笑、孤立,都会在孩子的心中投下阴影面积。即使没有霸凌,外观依然会影响心理健康,孩子不愿开心大笑,难以融入集体生活,结识朋友。青少年正畸的最佳年龄是11~16岁,这一时期孩子正处于发育高峰,颌面部处于快速生长期,颌骨可塑性较强,牙齿移动较快。能用较少的时间取得理想的矫治效果,而且矫正完成后反弹的几率,没有成人矫正高。
 
       正畸的方法有很多,隐形矫正特别受青少年的欢迎。隐形牙套可自行摘戴,吃饭时可取下,便于充分摄取成长所需营养。饭后刷好牙再戴上,有利于维护口腔卫生。孩子可以在矫正期间尽情绽放笑容,不用承受钢制牙套带来的尴尬。 
 
 
  • 上一篇:重要的虎牙也能矫正
  • 下一篇:虎牙畸形是怎么形成的
  • 分享到:

就诊指南

咨询热线:
022-23525523
门诊时间:
8:30-17:30
Copyright 天津河西区诺尔口腔门诊有限公司所有
(津)医广【2024】第05-06-04号  
网上有害信息举报专区 举报电话:16622071859 举报邮箱:1009097405@qq.com




免费在线解答您的问题

咨询热线:022-23525523

在线预约